Khoa Cấy ghép Răng

Phân khoa Cấy ghép răng, trực thuộc khoa Phẫu Thuật Hàm Mặt, được Viện thành lập vào tháng 5/1999. Khoa Cấy ghép răng chính thức được Bộ Y t ế công nhận vào năm 2004. Nguyên Viện trưởng, PGS. TS. Lâm Ngọc Ấn cùng với các Bác sĩ nước ngoài đã thực hiện ca implant đầu tiên tại Việt Nam ngày 10/1/1994, đến nay, sau 26 năm vẫn còn sử dụng tốt. Hiện nay khoa thực hiện được hầu hết các kỹ thuật trong implant như Nâng xoang, các kỹ thuật tăng thể tích xương và mô mềm, đặt implant xương gò má, phẫu thuật dời dây thần kinh răng dưới, phục hình dưới sự hỗ trợ của kỹ thuật số… nhờ đó khoa có thể giải quyết được hầu hết các trường hợp lâm sàng từ đơn giản đến phức tạp.







Bệnh viện răng hàm mặt trung ương TPHCM
Lãnh đạo tiền nhiệm
Lãnh đạo tiền nhiệm

Trưởng khoa

ThS.BS.CKII Nguyễn Văn Khoa –  từ năm 2014 đến 2025

Lãnh đạo đương nhiệm

TS.BSCKII. Lê Trung Chánh
Giám đốc Bệnh viện
Xem chi tiết
BSCKII. Tô Việt Thanh
Phó trưởng Khoa
Xem chi tiết

Các loại hình điều trị

Bệnh viện răng hàm mặt trung ương TPHCM

Nâng xoan hở

Bệnh viện răng hàm mặt trung ương TPHCM

Ghép xương tự thân

Bệnh viện răng hàm mặt trung ương TPHCM

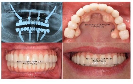
Phục hình trên bệnh nhân cắt đoạn xương hàm và ghép xương tự thân

Bệnh viện răng hàm mặt trung ương TPHCM

Implant xương gò má

Bệnh viện răng hàm mặt trung ương TPHCM

phẫu thuật Implant cho bệnh nhân bằng phương pháp gây mê

Định hướng Phát triển

  1. Chuyên môn – Kỹ thuật:

Ứng dụng kỹ thuật tiên tiến: Guided zygoma, robot, AI.

Tối ưu hiệu quả dài hạn theo chiến lược “Zero bone loss”.

  1. Đào tạo – Chuyển giao

Xây dựng lộ trình đào tạo từ cơ bản đến chuyên gia, giảng viên.

Mở rộng hợp tác quốc tế tại Mỹ, Châu Âu, Châu Á.

  1. Nghiên cứu – Khoa học

Nghiên cứu vật liệu xương, mô mềm, implant đặc biệt.

Tăng bài báo quốc tế và tham luận tại hội nghị.

  1. Công nghệ – Số hóa

Phát triển hệ thống implant số hoá toàn diện.

Tích hợp AI và hồ sơ điện tử trong điều trị & theo dõi.

Bệnh viện răng hàm mặt trung ương TPHCM

Các hoạt động chính

Bệnh viện răng hàm mặt trung ương TPHCM

Khám, điều trị bệnh nhân

Bệnh viện răng hàm mặt trung ương TPHCM

Nhiên cứu khoa học

Bệnh viện răng hàm mặt trung ương TPHCM

Hợp tác quốc tế

Bệnh viện răng hàm mặt trung ương TPHCM

Chuyển giao kỷ thuật cho các Bệnh viện tuyến dưới

Bệnh viện răng hàm mặt trung ương TPHCM

Đào tạo, hướng dẫn thực hành các lớp Implant cơ bản và nâng cao

Lời kết

Khoa Cấy ghép Răng xin gửi lời tri ân sâu sắc đến Ban Giám đốc, đội ngũ nhân sự và Quý Bệnh nhân đã luôn tin tưởng đồng hành trong hành trình phát triển của Khoa.
Chúng tôi cam kết tiếp tục phấn đấu và nỗ lực đễ mang lại những giá trị tốt đẹp cho cộng đồng và mang lại nụ cười khỏe mạnh và hạnh phúc cho người dân, đóng góp vào sự phát triển bền vững của ngành nha khoa Việt Nam.

Đăng ký khám Online
Tư vấn - Đặt lịch 028 3855 6732
Click để đặt mua gói dịch vụ
Tư vấn - Đặt lịch 1900 7178