Khoa Điều trị Nha khoa Tổng quát
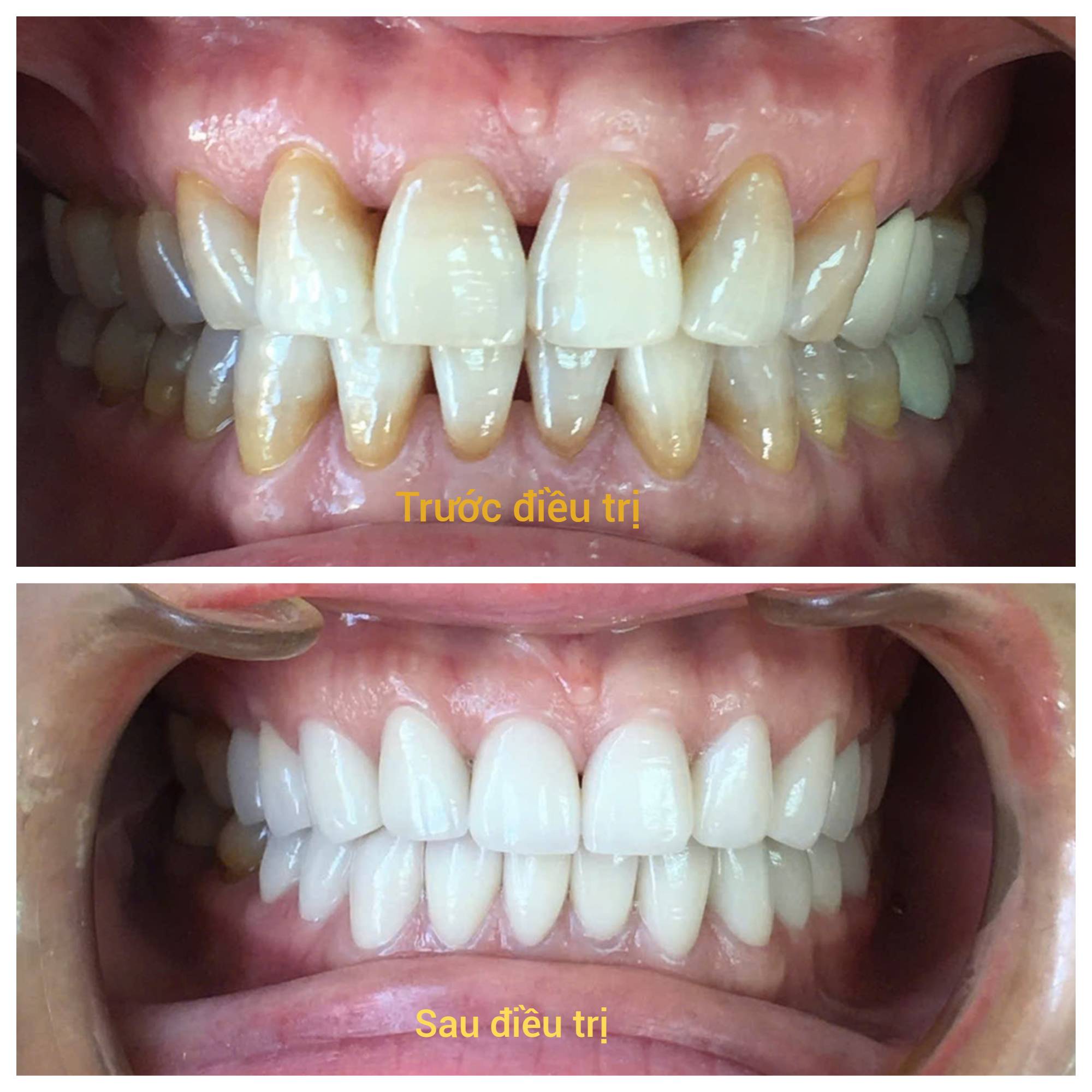
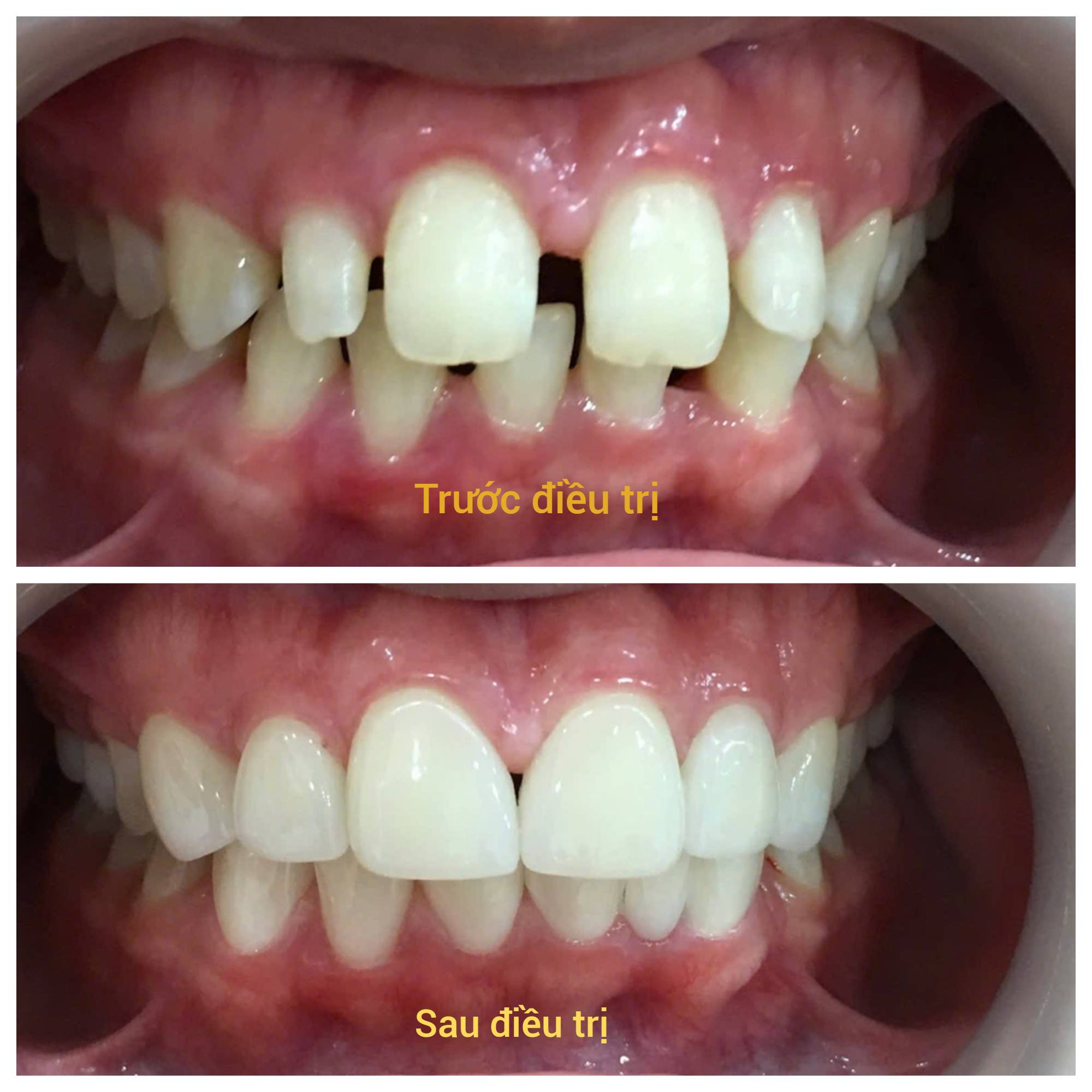
Khoa Điều trị Nha khoa Tổng quát được thành lập vào ngày 01/01/2005, trên cơ sở hợp nhất Phòng Nha khoa Quốc tế (thành lập năm 1993) và Phòng Điều trị tổng hợp (thành lập năm 1998). Trong hơn 20 năm hình thành và phát triển Khoa đã không ngừng nổ lực nâng cao chất lượng điều trị, triển khai những kỷ thuật tiên tiến. Ngoài ra Khoa được đầu tư các loại thiết bị, phương tiện hiện đại, những năm qua khoa đã thực hiện các loại hình điều trị như: Trám răng thẩm mỹ, điều trị nội nha bằng trâm máy Protaper, vật liệu sinh học – Biodentin, triển khai kỹ thuật lèn nhiệt kết hợp vật liệu sinh học điều trị chân răng vĩnh viễn bị nội tiêu, phục hình răng sứ cao cấp, mặt dán sứ, nhổ răng, phẫu thuật miệng và các phẫu thuật nha chu… Bệnh nhân sẽ được điều tri nhiều loại bệnh lý trong 1 lần hẹn nhằm rút ngắn thời gian đi lại cho bệnh nhân.

- BS. Nguyễn Ngọc Thiện (2005-2012)
- PGS.TS.BS. Lâm Hoài Phương (2012-2013)
- ThS.BS. Lê Trung Chánh (2013-2014)
- ThS.BS. Nguyễn Tấn Hưng (2014-2015)
- BS CKI. Trần Như Tuyên (2015-2016)
- BS CKII. Nguyên Anh Ninh (2017-2024)
Lãnh đạo đương nhiệm
Các loại hình điều trị
Định hướng phát triển
Theo kế họach phấn đấu, từ năm 2025-2030 Khoa Nha khoa Tổng quát trở thành đơn vị tốt nhất trong lĩnh vực chăm sóc răng miệng toàn diện và thực hiện tất cả các loại hình điều trị như sau:
- Triển khai các loại phục hình sứ cao cấp, mặt dán sứ.
- Triển khai vật liệu sinh học trong điều trị nội nha.
- Triển khai kỷ thuật lèn nhiệt kết hợp vật liệu sinh học điều trị chân răng vĩnh viễn bị nội tiêu.
- Triển khai Kỹ thuật số “Thẩm Mỹ nụ cười kỹ thuật số ”Smile design”
- Ứng dụng laser trong phẫu thuật nha chu…
- Về nghiên cứu khoa học, khoa có định hướng triển khai các đề tài nghiên cứu trong lĩnh vực nha khoa tổng quát, nha khoa kỹ thuật cao.

Các hoạt động Khác
Khoa Điều trị Nha khoa Tổng quát xin gửi lời tri ân sâu sắc đến Ban Giám đốc, đội ngũ nhân sự và Quý Bệnh nhân đã luôn tin tưởng và đồng hành trong hành trình phát triển của Khoa.
Chúng tôi cam kết tiếp tục phấn đấu và nỗ lực đễ mang lại những giá trị tốt đẹp cho cộng đồng và mang lại nụ cười khỏe mạnh và hạnh phúc cho người dân, đóng góp vào sự phát triển bền vững của ngành nha khoa Việt Nam.