Giới thiệu khoa Phục hình răng

Khoa Phục hình răng được thành lập vào ngày 17/5/1980, cùng với sự thành lập của Viện RHM, tổ chức tiền thân của Bệnh viện RHM Trung ương TPHCM ngày nay. Tọa lạc tại lầu 1 Khu C, Bệnh viện RHM Trung ương TPHCM, 201A Nguyễn Chí Thanh p12, Quận 5, TPHCM. Với chức năng và nhiệm vụ khám chữa bệnh, nghiên cứu khoa học, hợp tác quốc tế, đào tạo và chỉ đạo tuyến 32 tỉnh thành phía nam về lĩnh vực phục hình răng.

Qua 45 năm hình thành và phát triển (1980 – 2025), đã không ngừng lớn mạnh cả về cơ sở vât chất, thiết bị Y tế và đội ngũ Y Bác sĩ có trình độ và năng lực chuyên môn cao. Hiện nay Khoa phục hình là khoa chuyên sâu hàng đầu của cả nước về phục hình RHM.




Bệnh viện răng hàm mặt trung ương TPHCM
Lãnh đạo tiền nhiệm

Trưởng Khoa phục hình răng qua các thời kỳ:

  • Năm 1980 – 1992: BS Vũ Khoái
  • Năm 1992 – 2001: BS Nguyễn Thành Được
  • Năm 2002 – 2004: BS Đỗ Đình Hùng
  • Năm 2003 – 2005: ThS Nguyễn Thị Bích Ngọc
  • Năm 2006 – 2013: ThS Nguyễn Thị Nguyệt Hồng

 

Các loại hình điều trị chính

Bệnh viện răng hàm mặt trung ương TPHCM

Inlay/onlay phục hồi phần mất chất bao phủ một hay nhiều múi răng, mặt nhai, thân răng.

Bệnh viện răng hàm mặt trung ương TPHCM

Phục hồi dạng chụp bao phủ toàn răng: Mão răng sứ, mão răng kim loại.

Bệnh viện răng hàm mặt trung ương TPHCM

Mặt dán sứ (veneer) là phương thức phục hình răng bằng cách thay thế men răng ở mặt ngoài bằng cách dán vật liệu phục hồi (sứ) vào bề mặt răng .

Bệnh viện răng hàm mặt trung ương TPHCM

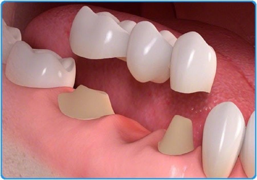
Cầu răng là phương pháp dùng các răng hai bên khoảng mất răng làm trụ cầu để phục hồi răng mất

Bệnh viện răng hàm mặt trung ương TPHCM

Phục hình tháo lắp bán phần

Bệnh viện răng hàm mặt trung ương TPHCM

Phục hình hàm mặt: phục hình mắt, mũi, tai....

Định hướng phát triển

Định hướng phát triển đến năm 2030 và tầm nhìn 2050:

  • Định hướng đến 2030 trở thành khoa phục hình hàng đầu trong khu vực trong lĩnh vực phục hình răng và hàm mặt.
  • Tầm nhìn đến 2050: phát triển toàn diện lĩnh vực phục hình hàm mặt hiện đại và kỹ thuật số.
Bệnh viện răng hàm mặt trung ương TPHCM

Các hoạt động chính

Bệnh viện răng hàm mặt trung ương TPHCM

Đảm bảo công tác chuyên môn

Bệnh viện răng hàm mặt trung ương TPHCM

Đào tạo &chỉ đạo tuyến

Bệnh viện răng hàm mặt trung ương TPHCM

Nghiên cứu khoa học

Bệnh viện răng hàm mặt trung ương TPHCM

Hợp tác quốc tế

Lời kết

Khoa Phục hình gửi lời tri ân sâu sắc đến Ban Giám đốc, đội ngũ nhân sự và quý Bệnh nhân đã luôn đồng hành trong hành trình phát triển của Khoa.
Chúng tôi cam kết tiếp tục phấn đấu và nỗ lực đễ mang lại những giá trị tốt đẹp cho cộng đồng và mang lại nụ cười khỏe mạnh và hạnh phúc cho người dân, đóng góp vào sự phát triển bền vững của ngành nha khoa Việt Nam.

Đăng ký khám Online
Tư vấn - Đặt lịch 028 3855 6732
Click để đặt mua gói dịch vụ
Tư vấn - Đặt lịch 1900 7178