khoa Nha chu
KHOA NHA CHU là một trong 15 Khoa lâm sàng được hình thành từ những năm đầu thành lập Bệnh viện (17/5/1980). Khoa khởi đầu với 1 ghế nha và 2 Bác sĩ điều trị. Từ đó đến nay, Khoa đã phát triển không ngừng về mọi mặt và trở thành một trung tâm hàng đầu về khám và điều trị các bệnh lý nha chu. Hiện nay Khoa có 04 ghế điều trị không phẫu thuật, 03 ghế điều trị phẫu thuật, cùng với cơ sở vật chất và trang thiết bị hiện đại.
Chức năng, nhiệm vụ:
– Khám, chẩn đoán, điều trị và hướng dẫn phòng bệnh tất cả các loại bệnh nha chu và thẩm mỹ nha chu.
– Các điều trị mũi nhọn:
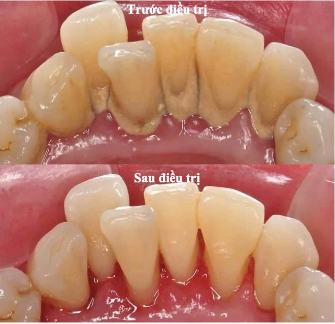
- Viêm nướu, viêm nha chu
- Bệnh lý về nướu: phì đại nướu, u nướu
- Thẩm mỹ nha chu: điều trị cười hở nướu, sử dụng laser trong điều trị nướu nhiễm sắc, ghép mô mềm điều trị tụt nướu, tăng kích thước sống hàm trước phục hình bằng ghép mô mềm
- Điều trị tái sinh mô nha chu: ghép mô mềm, ghép xương
– Tham gia đào tạo và chuyển giao kỹ thuật cho tuyến dưới, đào tạo đại học, sau đại học và theo nhu cầu xã hội.
– Kết hợp với phòng chỉ đạo tuyến, tham gia giảng dạy và đào tạo liên tục cho các y, bác sĩ các tỉnh thành phía nam.
Lãnh đạo khoa qua các thời kì:
Từ năm 1980 đến năm 2013: BS. Lê Thị Hòa Bình
Lãnh đạo đương nhiệm
Các loại hình điều trị
Thành tựu

Năm 2024 Khoa Nha chu đã khám và điều trị cho hơn 17.941 lượt bệnh nhân, nhận được sự hài lòng và đánh giá cao của người bệnh và thân nhân.

Nhiều năm liền được Bộ Y tế khen thưởng là Tập thể lao động xuất sắc.
Định hướng phát triển
- Phát triển Khoa Nha chu là khoa chuyên sâu với những kỹ thuật điều trị hiện đại, ít xâm lấn.
- Về nhân sự, định hướng phát triển đến năm 2030 khoa sẽ có 12 Bác sĩ, 12 Điều dưỡng và 1 Thư kí y khoa. Các Bác sĩ có trình độ Tiến sĩ, Chuyên khoa II.
- Xây dựng môi trường chuyên nghiệp và chất lượng cho điều trị và đào tạo, đem lại sự thoải mái, hài lòng cho người bệnh.
- Tầm nhìn 2050: Đến năm 2050, trở thành trung tâm điều trị bệnh lí và thẩm mỹ nha chu hàng đầu Việt Nam.
Các hoạt động chính
Khoa Nha chu xin gửi lời tri ân sâu sắc đến Ban Giám đốc, đội ngũ nhân sự và Quý Bệnh nhân đã luôn tin tưởng và đồng hành trong hành trình phát triển của Khoa.
Chúng tôi cam kết tiếp tục phấn đấu và nỗ lực đễ mang lại những giá trị tốt đẹp cho cộng đồng và mang lại nụ cười khỏe mạnh và hạnh phúc cho người dân, đóng góp vào sự phát triển bền vững của ngành nha khoa Việt Nam.